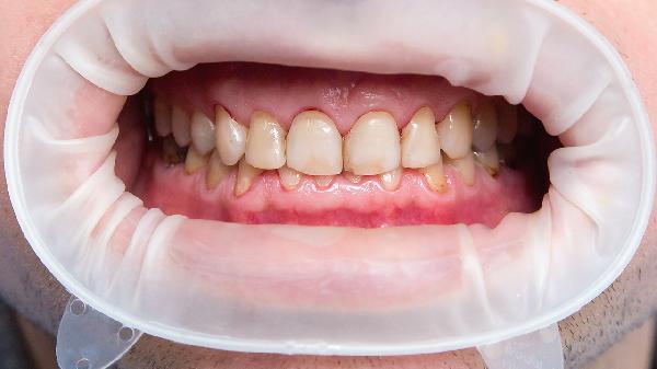
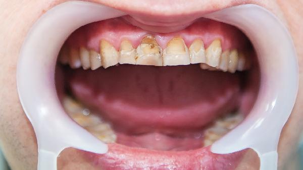
吃补肾固齿丸一般不能再生牙龈。牙龈萎缩通常是牙周炎、遗传因素或长期机械刺激等原因导致的不可逆损伤,补肾固齿丸主要用于缓解肾虚引起的牙齿松动,无法直接促进牙龈组织再生。
功能主治:补肾固齿,活血解毒。用于肾虚火旺所致的牙齿酸软、咀嚼无力、松动移位、龈肿齿衄;慢性牙周炎见上述证候者。
用法用量:口服。一次4克,一日2次。
补肾固齿丸由熟地黄、骨碎补等中药组成,具有补肾固齿的功效,适用于肾虚火旺导致的牙齿酸软、咀嚼无力等症状。该药物可通过改善牙槽骨代谢减缓牙龈萎缩进程,但无法修复已丧失的牙龈组织。牙龈再生需依赖专业牙周治疗如引导组织再生术或软组织移植术,药物仅能辅助控制炎症。

若牙龈萎缩伴随明显红肿出血,可能提示活动性牙周炎,需结合龈下刮治等牙周基础治疗。重度萎缩导致牙根暴露时,建议通过结缔组织移植术覆盖裸露牙根。日常应使用软毛牙刷避免机械损伤,并定期进行牙周维护。

出现牙龈萎缩应及时就医评估,明确病因后制定个性化方案。除规范治疗外,需每日使用巴氏刷牙法清洁牙齿,配合牙线及冲牙器维护口腔卫生。避免吸烟、过量饮酒等加重牙龈萎缩的因素,每3-6个月复查牙周状况。
























