视力模糊不一定是脑部疾病引起的。视力模糊的原因多样,可能是眼部疾病、视疲劳、屈光不正等常见问题,但也可能与脑部疾病有关。

视力模糊的常见原因包括屈光不正、干眼症、白内障、青光眼等眼部疾病。屈光不正如近视、远视、散光等,会导致光线无法准确聚焦在视网膜上,从而引起视力模糊。干眼症由于泪液分泌不足或蒸发过快,导致眼睛干涩、视力模糊。白内障和青光眼则是老年人常见的眼病,前者因晶状体混浊导致视力下降,后者因眼压升高损害视神经,也可能出现视力模糊。

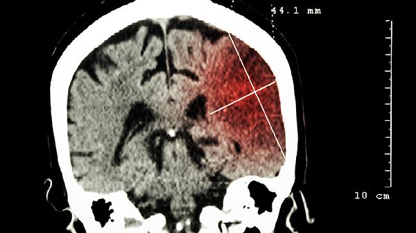
脑部疾病如脑肿瘤、脑卒中、多发性硬化等,也可能导致视力模糊。脑肿瘤压迫视神经或视觉中枢,会影响视力。脑卒中可能损害视觉通路,导致视野缺损或视力下降。多发性硬化是一种自身免疫性疾病,可能影响视神经,引起视力模糊。这些疾病通常伴随其他症状,如头痛、恶心、肢体无力等。

日常生活中,保持良好的用眼习惯有助于预防视力模糊。避免长时间使用电子设备,注意用眼休息,定期进行眼部检查。饮食上,多摄入富含维生素A、C、E的食物,如胡萝卜、橙子、坚果等,有助于保护视力。适当进行户外活动,增加阳光照射,也有助于预防近视。若视力模糊持续或伴随其他症状,建议及时就医,明确病因并接受针对性治疗。
























